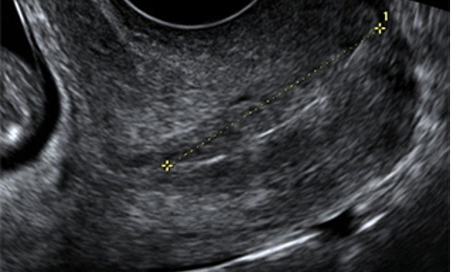
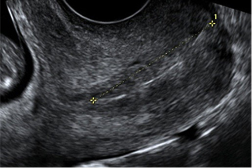
La Cervicometría, o ecografía para medición de la longitud cervical, se realiza por vía transvaginal. Consiste en la medición de la longitud del cuello del útero que es un indicador confiable del riesgo de parto prematuro. Su medición está indicada ante la presencia de contracciones uterinas y amenaza de parto antes del término.