

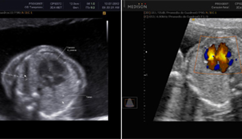
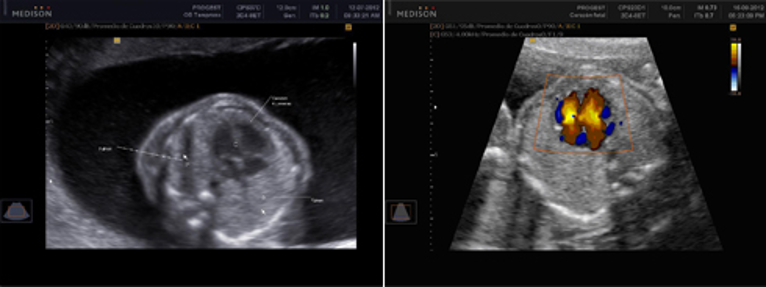
Se realiza por vía abdominal después de la semana 13 y hasta el final de la gestación. Esta ecografía brinda información muy útil sobre la anatomía del bebe, donde se evalúa cada uno de sus órganos, y es de gran utilidad para descartar problemas estructurales o de funcionamiento de algún órgano , formación y crecimiento del bebe, posición de la placenta, cantidad de líquido amniótico, tiempo de gestación, como está la circulación de la placenta y el cordón umbilical, entre otras. A partir de la semana 16 podemos determinar el sexo de tu bebé con una ecografía tradicional en 2D